Denník budúcej mamičky G:

Individuálne info šteniatokindG.html


Jún 2017 - Čakáme na háranie, podávame Acidum Folicum.

19.7. 2017 - Eliška začína hárať

August 2017 - odčervenie, odbery krvi na hladinu progesteronu


4.8. - krytie v Poľsku

28.8. gravidita potvrdená

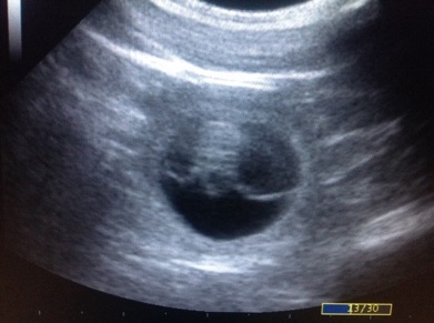
4.9.2017 32.deň


26.9.2017 54.deň


30.9. 2017 58.deň

5.10.2017 63.deň - 9:50 - 16:30 - pôrod 8 šteniatok













 
Denník šteniatok
Rodokmeň  šteniatokrodvrhG.htmlrodvrhG.htmlshapeimage_3_link_0